親知らずを抜かないといけない理由
親知らずの抜歯が多くなってきた背景
人類は素晴らしい進化・発展を遂げましたが、その間、歯と顎も大きく変化しました。人類が地上に誕生した頃は、純植物菜食主義の生かじりの食生活でした。しかし、人類が火を発見し、食べ物を柔らかく加工する知識や調理技術を身に着けることによって食生活はだんだん軟食化の傾向をたどり、顎を使う機会が減り、顎は小さくなりました。
親知らずは、一番最後に生えてくるため、現代人のあごの中では生える場所が残されていません。骨の中に埋まったまま出てこなかったり、横や斜めに生えてきたりして、今日では完全な形で生えてくる人は稀です。
そのために、痛んだり腫れたりすることが多く、炎症がある場合は抜歯も出来ない事もあるので、何ともない時に抜いておく方法が勧められるのです。
よくわかる!
親知らずの障害「10項目」
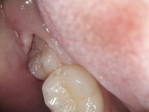
1.上も下も親知らずが半分しか頭を出さず、その周りに磨き残しが出来てしまいます
親知らずに歯肉がかぶさり、ブラッシングが思うように出来ません。虫歯と歯槽膿漏になる可能性が高くなります。
前の歯の陰に隠れて親知らずまで歯ブラシが届かず、汚れがいっぱい残っています。
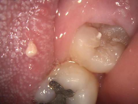
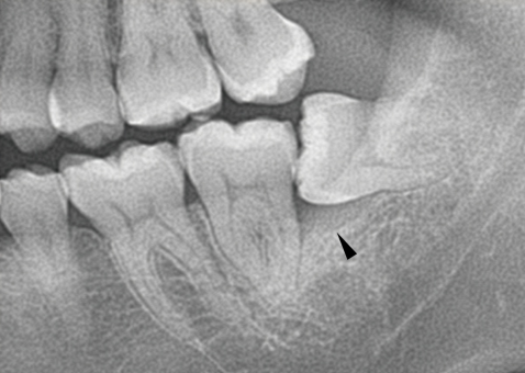
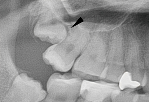
2.親知らずが虫歯になると、その手前の歯も虫歯になる可能性があります
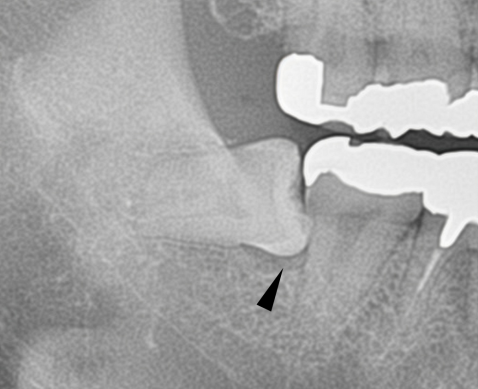
一番右奥の親知らずは良く磨けず、虫歯になることが多いのです。早く抜いて、前の歯が虫歯にならないようにしなければなりません。
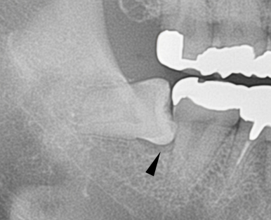
同じ症例をレントゲン写真で見たところです。親知らずが横倒しに生えていて、周りの骨を溶かしてしまっています。
3.上顎と下顎の噛み合わせる歯がどちらかにない時は歯がだんだん伸びてきて、顎の運動を邪魔してしまい、関節が痛くなることがあります
きっちりした良いかみ合わせですが、一部奥に親知らずがあります。上顎にかみ合う歯が無いので、だんだん上へ伸びています。
下顎を前の方へ動かしたとき、伸びている親知らずは上の歯とぶつかってしまいます。こんな時、スムーズな顎の運動が出来なくなり、関節が痛くなります。
4.顎が小さくて、生える場所が無いので、変な場所に生えたり、骨の中に潜って頭を出さず炎症を起こします
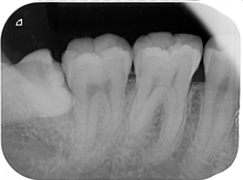
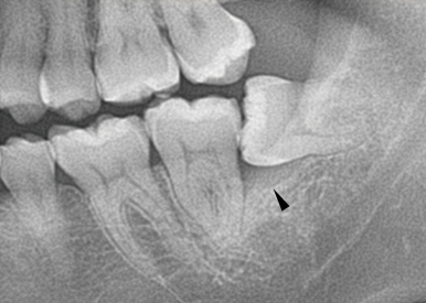
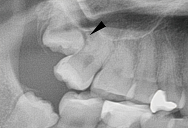
親知らずが横(水平)に生えている写真です。隣の歯との隙間は歯磨きすることは出来ません。放っておくと、次の写真の様になります。
左の親知らずは、大事な一本前の歯を虫歯にし、さらに周りの骨を溶かしています。こうなってからでは遅すぎてしまいます。
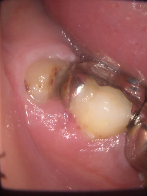
5.いつも汚れていて、口臭の原因と考えられます
左端の歯が親知らずです。ブラッシングが難しく、沢山磨き残しがあります。手前の歯も虫歯になっています。
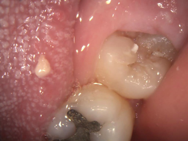
一番奥の歯が親知らずです。汚れがたまって腫れています。
6.上の親知らずが、下の親知らずの歯肉を噛んで、炎症や腫れの原因になっている場合があります
ほほが赤く腫れあがっています。
7.親知らずが手前の歯を押すことによって歯並びを悪くします
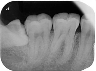
下の歯ですが親知らずに押されて、根と根がくっついています。
前の写真同様、根と根がくっつき、根の抵抗力を弱めます。
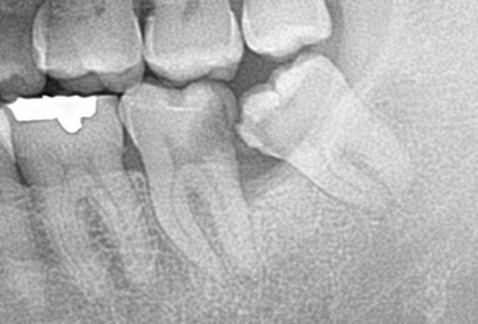
8.手前の歯の根を押す場合、押された歯の根は溶けてしまいます
一番左の親知らずが、大事な隣の歯の根を溶かしてしまいました。
下の親知らずが、前の歯の根を溶かしてしまいました。
9.親知らずの歯磨きが不十分で歯槽膿漏になったら骨が溶け、手前の歯の根の周りの骨も溶けます
一番右の親知らずが、大事な隣の歯の根を溶かしてしまいました。
下の親知らずが、前の歯の根を溶かしてしまいました。
10.親知らずが深いところまで根を張っている場合、何らかの外力がそこに加わると、あごの骨折が起こることもあります
親知らずがあごの中にもぐっていると、その分、あごの骨は厚みが薄くなります。親知らずがある所をぶつけたりすると、下顎が骨折することがあります。
親知らずを抜かなくてもいい場合もあります
例外的なものは抜かなくてもいい
- あごが大きく親知らずが楽に生えていて、歯ブラシが十分届くような時
- 一つ手前の歯が抜かれていて、親知らずにブリッジやバネをかけた方が安定が良い時
あごが大きく親知らずが楽に生えていて、歯ブラシが十分届くようなとき。そして、一つ手前の歯が抜かれていて、親知らずにブリッジやバネをかけた方が安定が良い時などです。
しかし、上顎の親知らずは使える場合はほとんどありません。親知らずは抜いた後、入れ歯など何も入れる必要は無く、全体の噛む力や歯並びにも変化はないために、抜くだけで終了することも多いのです。
新浦安ブライト歯科には
口腔外科出身の医師が在籍!
当院には、総合病院の口腔外科出身の歯科医師も在籍
口腔外科とは、お口の中の外科手術を専門とする、歯科の中でも専門性の高い分野です。
お口の中だけとはいえ、出血を伴う手術ですので、専門知識と技術を持ち合わせた医師が必要な場合も多いのです。
一般的には大学病院や総合病院などにしか在籍をしない口腔外科の専門資格を持つ歯科医師ですが、当院には在籍しておりますので、他院で難しいと言われた場合も、ご相談下さい。
「なるべく痛くなく」「適切な処置」をして早く親知らずの痛みを取り除きます。
歯を抜く前の注意
抜歯の前日は、十分に睡眠をとって体を休めてください。
以下の項目に当てはまる方は、事前によく相談してください。
- 妊娠中、授乳中、また生理中の人
- 薬・麻酔注射などにアレルギーのある人
- 現在、大きな病気(高血圧・糖尿病・心疾患など)を罹っている人
- 普段、何か薬を飲んでいる人
- 次の日に重要な予定のある人
- 以前、抜歯の前後に気分が悪くなったり、何か変わったことがあった人
歯を抜いた後の注意
- 抜歯後は、入浴・飲酒・過激な運動は避けて下さい
- 気にして、指や舌で傷口を触らないで下さい
- 水でうがいすると出血は止まりません。いつまでも血が止まらなかったり、出血したりするようなら清潔なガーゼや綿花を固く丸めて傷口に当て、暫く(20~30分)強く噛んで下さい。唾液に少し血が混じっている程度なら問題ありません
- 麻酔の為2~3時間ほど口がしびれることがあります。この間は唇を噛まないように注意して下さい
- 薬は指示通り服用して下さい
- 当日の食事は、患部を刺激しないように柔らかいものにし、ワサビやカラシなど刺激物は避けて下さい
- 帰宅後はできるだけ安静にし、腫れが気になる場合、濡れたタオルで冷やして下さい
当院についてTOPへ


閉じる


千葉県浦安市明海4丁⽬1-1 ニューコースト新浦安3階



